1066VIPÍþÄá˹

½Ó´ý»á¼û1066VIPÍþÄá˹ÆóÒµÍøÕ¾
ЧÀ͵绰£º 0573-84882939
ÒºµçËéʯ¸Îµ¨¹Ü½áʯµÄ΢´´¸ïÐÂ

ÒºµçËéʯ¸Îµ¨¹Ü½áʯµÄ΢´´¸ïÐÂ

Ðû²¼ÈÕÆÚ£º2025-05-12 À´Ô´£º

ÒºµçËéʯ¸Îµ¨¹Ü½áʯµÄ΢´´¸ïÐÂ

Ðû²¼ÈÕÆÚ£º2025-05-12 À´Ô´£º

¸Îµ¨¹Ü½áʯÊÇÎÒ¹ú³£¼ûµÄµ¨µÀ¼²²¡£¬Ô¼Õ¼ÖÖÖÖµ¨µÀ½áʯµÄ 38%¡£¹Å°åÖÎÁÆÖУ¬¸Î²¿·ÖÇгýÊÇ´¦ÀíÄÑÈ¡ÐͽáʯµÄÖ÷ÒªÊֶΣ¬µ«±£´æ¸ß²ÐʯÂÊ¡¢¸ß¸´·¢Âʼ°ÊÖÊõΣº¦¡£

Ëæ×Å΢´´¼¼ÊõµÄÉú³¤£¬µ¨µÀ¾µÏÂÒºµçËéʯ¼¼Êõ£¨Electrohydraulic Lithotripsy, EHL£©Öð½¥³ÉÎªÖÆÖ¹¸ÎÇгýµÄÖØÒªÑ¡Ôñ¡£¸Ã¼¼Êõͨ¹ý¾«×¼Ëéʯ£¬ÔÚ±£´æ¸Î×éÖ¯µÄͬʱʵÏÖ½áʯÇå³ý£¬ÏÔÖøÌáÉýÁËÊÖÊõÄþ¾²ÐԺͻ¼ÕßÔ¤ºó¡£

PART.1

¼¼ÊõÔ­Àí

640.gif

ÒºµçËéʯÒÇͨ¹ý¸ßµçѹ±¬·¢µÄÕðµ´²¨£¬¾­ÈáÈíµ¼Ë¿´«µ¼ÖÁ½áʯÍâò£¬ÔÚÒºÌå½éÖÊÖÐÐγɸßѹÂö³å»ð»¨£¬Ë²¼ä»÷Ëé½áʯ¡£Óë¹Å°åȡʯ¼¼ÊõÏà±È£¬Æä½¹µãÓÅÊÆ°üÀ¨£º

¿çϵͳÖÎÁÆÄÜÁ¦

ÒºµçËéʯÊÇΨһͬʱÁýÕÖÃÚÄòϵºÍµ¨µÀ½áʯµÄ¼¼Êõ£¬ÓÈÆäÔÚµ¨×ܹÜǶ¶ÙÐÔ½áʯÖÎÁÆÖÐÀÖ³ÉÂʸߴï96%

Ó²ÐÔ½áÊ¯ÆÆ»µÐ§ÂÊ

Òºµç¹¥»÷²¨¿É»÷Ëéһˮ²ÝËá¸ÆµÈ¸ßÓ²¶È½áʯ£¬ÄÜÁ¿ÃܶÈÊdz¬ÉùËéʯµÄÊýÊ®±¶£¬¶øîؼ¤¹â¶ÔÓ²ÐÔ½áʯÐè¸ü¸ßÄÜÁ¿ÇÒºÄʱ¸ü³¤¡£

¾­¼ÃÐÔÓëϲãÊÊÓÃÐÔ

ÒºµçÉ豸±¾Ç®½öÎªîØ¼¤¹âµÄ1/4£¬µ¥´ÎºÄ²ÄÓöȵÍÖÁ1/3£¬¸üÊʺÏÒ½ÁÆ×ÊÔ´ÓÐÏÞµØÇøÍƹ㼼ÊõÁ¢ÒìDZÁ¦£»¶àµç¼«ÍøÀºÉè¼ÆÊµÏÖËéʯ-ȡʯһÌ廯£¬ÖÆÖ¹¶þ´ÎÊÖÊõ£»ÖÇÄÜ×迹ƥÅäϵͳ¶¯Ì¬µ÷ÀíÄÜÁ¿£¬¼õÉÙ×éÖ¯ËðÉËΣº¦ÖÁ£¼1%¡£

PART.2

ÁÙ´²Ó¦ÓÃ


ÅÓ´ó½áʯ´¦Àí

Ƕ¶ÙÐÔ½áʯ£ºÈçÖ±¾¶ 1.5cm µÄµ¨×ܹܽáʯ£¬¹Å°åȡʯÐèÇпªµ¨¹Ü£¬¶øÒºµçËéʯ¿ÉÔÚÖ±ÊÓϾ«×¼»÷Ë飬ֹ֯µ¨¹ÜËðÉË¡£ÖýÐͽáʯ£ºÍ¨¹ý ¡°Ëé - ³å¡± ½áºÏ£¬½«½áʯÆÊÎöΪ¡Ü2mm Ë鯬£¬¾­µ¨µÀ×ÔÈ»Åųö¡£

ÁÙ´²Êý¾ÝÖ§³Ö

ÎÂÖÝÊÐÖÐÐÄÒ½Ôº 89 Àý»¼ÕßÑо¿ÏÔʾ£¬ÒºµçËéʯ×é¸Î²¿·ÖÇгýÂÊ´Ó 67.4% ½µÖÁ 47.8%£¬¸¹Ç»¾µÊÖÊõÀÖ³ÉÂÊÌáÉý 21.6%¡£¡¤±±¾©ÓÑÒêҽԺƽ¹ÈÒ½ÔºÍê³ÉÊ×Àý¾­¿Úµ¨¹Ü¾µÏÂÒºµçËéʯÊõ£¬Àֳɴ¦ÀíÖ±¾¶ 2cm µÄµ¨×ܹܽáʯ£¬ÊÖÊõʱ¼äËõ¶Ì 30%¡£

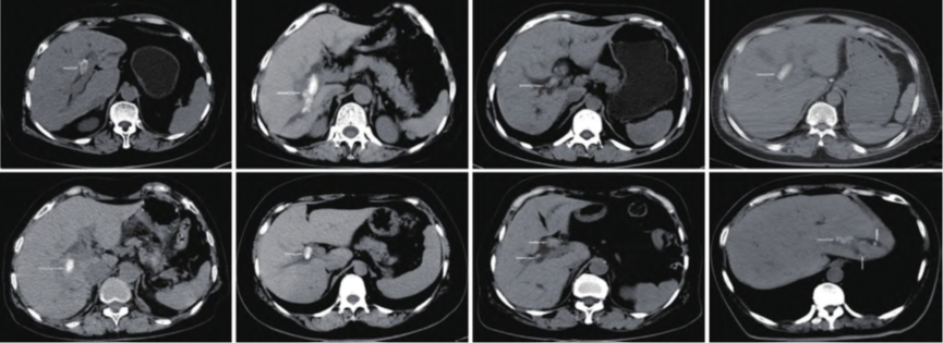
640.png

8Àý¸Îµ¨¹Ü½áʯ»¼ÕßÒºµçËéʯÖÎÁƵÄCTÌåÏÖ£¨°×É«¼ýÍ·ËùָΪ½áʯ£©


PART.3

¼¼Êõ±ÈÕÕÓëÍ»ÆÆ

640 (1).png

640.png

΢ÐÅͼƬ_2025-10-23_114148_544.png

ÊÖÊõǰºó±ÈÕÕ


PART.4

1066VIPÍþÄá˹ҽÁƵÄЧÀÍÓÅÊÆ

640 (1)2.gif

×÷Ϊº£ÄÚÉÙÓеÄ"Ñз¢-×¢²á-Éú²ú"Ò»Ì廯ƽ̨£¬1066VIPÍþÄá˹ҽÁƿƼ¼ÔÚÒºµçËéʯ¼¼ÊõµÄÁÙ´²×ª»¯Öз¢»ÓÁËÒªº¦×÷Óã¬Æä¿ÆÑ§×ª»¯Â·¾¶°üÀ¨ÒÔÏÂÒªº¦»·½Ú£º

Ñз¢Ð§ÀÍ£ºÔö½øÒ½¹¤×ª»¯

  • ¼ÓÈë DLZ-1 ÐÍÒºµçËéʯÒǵĽ¹µã²¿¼þÉè¼Æ£¬ÓÅ»¯ÄÜÁ¿¿ØÖÆÄ£¿é£¬ÌáÉýËéʯЧÂÊÓëÄþ¾²ÐÔ¡£

  • ¿ª·¢ÊÊÅ䵨µÀ¾µµÄ³¬Ï¸µ¼Ë¿£¨1.5mm£©£¬È·±£Æ÷еÔÚµ¨¹ÜÄÚµÄÁé»î²Ù×÷

6404.jpg

´ú¹¤Ð§ÀÍ£ºÑÏ¿ØÖÊÁ¿°ü¹ÜÆ·ÖÊ

  • ½ÓÄɾ«ÃÜ×¢ËÜÓëÄ£¾ß¹¤ÒÕ£¬ÊµÏÖËéʯÒÇÖ÷»úÓëÅä¼þµÄ¹æÄ£»¯Éú²ú£¬Âú×ãÁÙ´²ÐèÇó¡£

  • ½¨Á¢ÇÐºÏ YY/T 1587 ±ê×¼µÄ¼ì²âÁ÷³Ì£¬È·±£²úÆ·ÖÊÁ¿Îȶ¨ÐÔ¡£

6405.jpg

×¢²áЧÀÍ£º×¨Òµ¸ßЧÖúÁ¦ÉÏÊÐ

Ò½ÁÆÆ÷еע²áµÄʵÖÊÊǽ«¼¼ÊõÓÅÊÆ×ª»¯Îª¼à¹ÜÈϿɵÄÖ¤¾ÝÁ´¡£1066VIPÍþÄá˹½¨Á¢¡¸È«Ö¤¾ÝÖÜÆÚ¡¹Ð§ÀÍģʽ£º

ºÏ¹æÂ·¾¶¼Æ»®

  • ƾ¾Ý²úƷΣº¦Æ·¼¶£¨Èç¢òÀà/¢óÀà£©ÖÆ¶¨²î±ð»¯Õ½ÂÔ£»

  • ½¨Á¢Å·ÃËMDR/ÃÀ¹úFDA/ÖйúNMPAµÄ½»²æÓ³Éä¿ò¼Ü£¬×ÊÖú¿Í»§¡¸Ò»´Î¿ª·¢£¬¶à¹úÉ걨¡¹

6406.jpg

ÁÙ´²ÏàÖú

  • ÓëÈý¼×Ò½ÔºµÈ»ú¹¹ÏàÖú£¬ÌṩÉ豸¶¨ÖÆ»¯Ð§ÀÍ£¬Ö§³Ö¶àÖÐÐÄÁÙ´²Ñо¿¡£

  • ЭÖúÖÆ¶¨ÒºµçËéʯ¼¼Êõ²Ù×÷¹æ·¶£¬Íƶ¯ÐÐÒµ±ê×¼»¯Éú³¤¡£

6407.jpg

PART.5

»¼Õß»ñÒæÓë¼¼ÊõÕ¹Íû


ÒºµçËéʯ¼¼ÊõÒÔ¡°±£Æ÷¹Ù¡¢¾«Ëéʯ¡±Îª½¹µãÀíÄ´Ó¶ÌÆÚ¿µ¸´µ½ºã¾Ã½¡¿µÊµÏÖÈýÖØ»ñÒæ£º

´´ÉË×îС»¯

ÖÆÖ¹¹Å°å¸ÎÇгý£¬¸Î¹¦Ð§Ë¥½ß¡¢µ¨ðüµÈ²¢·¢Ö¢Î£º¦½µµÍ65%£¬¸¹Ç»¾µÊÖÊõ±ÈÀýÌáÉýÖÁ67.4%£¬Çпڽö1-3cm¡£

»Ö¸´¸ü¸ßЧ

ÊõºóסԺʱ¼äÓë¹Å°åÊÖÊõÏ൱£¨Æ½¾ù20Ì죩£¬µ«ÌÛÍ´ÆÀ·Ö½µµÍ43%£¬¸Î¹¦Ð§Ö¸±ê»Ö¸´ËٶȼÓËÙ40%£¬ÔçÆÚÉú»îÖÊÁ¿ÏÔÖø¸ÄÉÆ¡£

Ô¶ÆÚ¸üÄþ¾²

½áʯÇå³ýÂÊÌáÉý40%£¬5Ä긴·¢ÂʽµÖÁ28%£¨¹Å°å45%£©£¬µ¨¹ÜÑ×±¬·¢Æµ´Î¼õÉÙ60%£¬ÓÐЧÑÓ»ºµ¨Ö­ÐÔ¸ÎÓ²»¯½ø³Ì3-5Äê¡£×ܽá×÷Ϊ΢´´ÖÎÁƵĸïмƻ®£¬ÒºµçËéʯ¼¼Êõͨ¹ý¾«×¼Ëé½âÓëÆ÷¹Ù±£»¤µÄ½áºÏ£¬Îª¸Îµ¨¹Ü½áʯ»¼ÕßÌṩÁËÄþ¾²¸ßЧµÄÐÂÑ¡Ôñ¡£1066VIPÍþÄá˹ҽÁƿƼ¼Æ¾½èÔÚ½¹µã¼¼ÊõÑз¢¡¢ÖÇÄÜÖÆÔì¼°ÁÙ´²Ð­Í¬µÄÈ«Á´ÌõÓÅÊÆ£¬Õý¼ÓËÙÍÆ¶¯ÕâÒ»¼¼ÊõµÄÆÕ¼°Ó¦Óá£

δÀ´£¬Ëæ×ÅAIÄÜÁ¿µ÷Àí¡¢3Dµ¼º½µÈ¼¼ÊõµÄÈںϣ¬ÒºµçËéʯ½«ÂõÏò¡°¾«×¼»¯+ÖÇÄÜ»¯¡±ÐĄ̂½×£¬Èøü¶à»¼ÕßÀë±ð´´ÉËÐÔÊÖÊõ£¬ÖØ»ñµ¨µÀ½¡¿µ¡£

640 (2)8.png


×ܽá


×÷Ϊ΢´´ÖÎÁƵĸïмƻ®£¬ÒºµçËéʯ¼¼Êõͨ¹ý¾«×¼Ëé½âÓëÆ÷¹Ù±£»¤µÄ½áºÏ£¬Îª¸Îµ¨¹Ü½áʯ»¼ÕßÌṩÁËÄþ¾²¸ßЧµÄÐÂÑ¡Ôñ¡£

1066VIPÍþÄá˹ҽÁƿƼ¼Æ¾½èÔÚ½¹µã¼¼ÊõÑз¢¡¢ÖÇÄÜÖÆÔì¼°ÁÙ´²Ð­Í¬µÄÈ«Á´ÌõÓÅÊÆ£¬Õý¼ÓËÙÍÆ¶¯ÕâÒ»¼¼ÊõµÄÆÕ¼°Ó¦Óá£

δÀ´£¬Ëæ×ÅAIÄÜÁ¿µ÷Àí¡¢3Dµ¼º½µÈ¼¼ÊõµÄÈںϣ¬ÒºµçËéʯ½«ÂõÏò¡°¾«×¼»¯+ÖÇÄÜ»¯¡±ÐĄ̂½×£¬Èøü¶à»¼ÕßÀë±ð´´ÉËÐÔÊÖÊõ£¬ÖØ»ñµ¨µÀ½¡¿µ¡£




Ïà¹ØÐÂÎÅÍÆ¼ö
TOP
ÍøÕ¾µØÍ¼